CTA. Cerebral merupakan pemeriksaan dengan menggunakan alat computerisasi tomografi (CT Scan) dengan dan atau beberapa bahan yang diperlukan untuk menggambarkan organ arteri cerebral dan cabang – cabangnya serta sekitarnya pada beberapa dimensi.
Anatomi
Persiapan pasien
- Memberikan keterangan tentang riwayat alergi dan kemungkinan ada kelainan ginjal (ureum 20-40, kreatinin 0,5-1,5)
- Mendapatkan penjelasan tentang prosedur pemeriksaan
- Mengisi surat persetujuan tindakan
Persiapan Alat dan bahan
1. Alat
- Pesawat CT Scan Multi slice
- Injector Otomatis
2. Bahan
- Kontras media = 80 cc
- Venvlon no-19
- Micropore
- Kapas alcohol
Indikasi Pemeriksaan
- Aneurisma
- AVM
- Edema
- Infark
Teknik Pemeriksaan
1. Topografi
- AP view n Lat View
- KV : 120 mAs : 80
2. Post Contras Injeksi Scan (enhance)
Teknik Bolus Tracking
Treshold
Flowrate 3 ml/s
Treshold 100 HU
Monitoring
Parameter
Post Processing
MPR Axial Brain
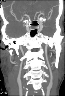
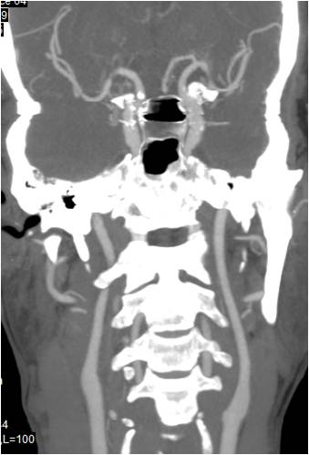
MIP Coronal
MIP Sagital
MIP Curve
MIP AVA Teknik
MIP Vascular
VRT Vascular













0 komentar:
Posting Komentar